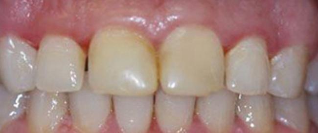
What Is the Porcelain Veneer Procedure?

Getting veneers usually requires two visits to complete the process. The teeth are prepared by lightly buffing and shaping the surface to allow for the thickness of the veneer. A mold or impression of the teeth is taken, and a shade match is determined by you and the dentist.
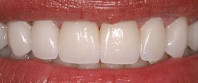
On the second visit, the teeth will be cleansed with special liquids to allow bonding cement to adhere between the veneer and the tooth. A special light beam is used to harden and set the bonding cement.
You will receive care instructions after the veneer procedure is complete. Proper brushing, flossing, and regular dental visits will aid in extending the life of your new veneers.
Payment Options
While the cost of porcelain veneers will vary depending on your specific situation, we offer many payment options to fit most budgets. We accept most dental insurance and offer third party financing. Contact the Great Lakes Family Dental nearest to you to speak with our team and schedule your appointment today.