Advantages and lmportance of Dental Fillings

When a cavity, decay or injured tooth is left untreated, decay can spread past the tooth enamel into deeper levels of the tooth and into the pulp. If the decay reaches the soft enamel, or dental pulp, the next treatment may be a root canal treatment or extraction. It is important to get dental fillings before the area gets too large to fill.
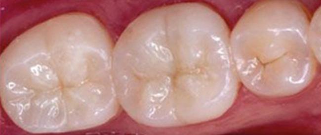
Composite fillings are widely used today to repair teeth, because they are more aesthetically suited for use in front teeth and the more visible areas.
Composite fillings are usually placed in one appointment under local anesthetic. While the tooth is numb, your dentist will remove the decay and the space will then be thoroughly cleaned and carefully prepared before the filling is placed. The dentist is able to remove as much of the tooth as necessary because the filling is bonded to the tooth and provides a durable, natural-looking restoration.
If the decay was near the nerve of the tooth, a special medication will be applied for added protection. The composite dental filling will then be precisely placed, shaped, and polished, restoring your tooth to its original shape and function.
Dental restorations like composite fillings are permanent but may need to be replaced over time. They are a durable solution to preserve and restore teeth that will last many years, giving you a long-lasting, beautiful smile.
You will be given care instructions at the conclusion of your filling procedure. Good oral hygiene practices, eating habits, and regular dental visits will aid in enhancing the life of your new fillings.
Our dentists are experts at matching the natural tooth color of the filling to your existing tooth structure. It allows you to preserve your beautiful, natural smile!